Αυτό το λήμμα αφορά την οικογένεια ιών. Για την τρέχουσα πανδημία του ιού COVID-19, δείτε: Πανδημία κορονοϊού 2019–20. Για τον υπεύθυνο ιό, δείτε: SARS-CoV-2.
| Κορονοϊός | ||||||||||
|---|---|---|---|---|---|---|---|---|---|---|
| Ταξινόμηση ιού | ||||||||||
| ||||||||||
| Τυπικό είδος | ||||||||||
| Κορονοϊός |
Οι κορονοϊοί ή κοροναϊοί (εναλλακτική ορθογραφία: κορωνοϊοί ή κορωναϊοί) είναι οικογένεια ιών. Έχουν πάρει το όνομά τους από τη χαρακτηριστική εμφάνισή τους στο ηλεκτρονικό μικροσκόπιο, όπου διακρίνονται εξογκώματα περιμετρικά των υλικών σωματιδίων σαν στέμμα, το οποίο στα λατινικά λέγεται «κορόνα» (λατινικά: corona). Οι κορονοϊοί είναι ιοί με περίβλημα και φέρουν ως γονιδίωμα ένα μονόκλωνο RNA θετικής(+) πολικότητας.[1] Το γονιδίωμα των κορονοϊών έχει μέγεθος περίπου 26 με 32 χιλιάδες βάσεις, το μεγαλύτερο μεταξύ των ιών RNA.
Οι χαρακτηριστικές ακτίνες αποτελούνται από πρωτεΐνικά πεπλομερή, τα οποία καθορίζουν τον τροπισμό του ιού. Για παράδειγμα, στον ιό του ΣΟΑΣ οι πρωτεΐνες S προσκολλούνται στο μετατρεπτικό ένζυμο της αγγειοτενσίνης 2.[2] Άλλες πρωτεΐνες είναι οι Ε, στο έλυτρο, Μ, στη μεμβράνη, και Ν στο πυρηνικό καψίδιο. Το πρωτεϊνικό στέμμα των κορονοϊών, σε αντίθεση με αυτό άλλων ιών, αντέχει στις συνθήκες του γαστρεντερικού συστήματος.[1]
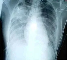
Οι περισσότεροι κορονοϊοί προκαλούν στον άνθρωπο συνήθως λοιμώξεις του ανώτερου αναπνευστικού, αλλά μπορούν να προκαλέσουν και πνευμονία. Είναι η αιτία του 10-15% των λοιμώξεων του αναπνευστικού συστήματος. Ένας κορονοϊός ήταν υπεύθυνος για μια έξαρση κρουσμάτων σοβαρού οξέως αναπνευστικού συνδρόμου (ΣΟΑΣ, διεθνώς γνωστό ως SARS), η οποία άρχισε το 2002 στην Κίνα.[1] Ένα άλλο είδος κορονοϊού προκάλεσε το αναπνευστικό σύνδρομο της Μέσης Ανατολής το 2012 (MERS). Μέχρι το 2019 είχαν καταγραφεί 2.468 κρούσματα με 851 θανάτους (θνητότητα περίπου 34,5%).[3] Στα τέλη του 2019, εμφανίστηκε ένας νέος κορονοϊός, o κορονοϊός της Ουχάν (γνωστός επίσημα ως SARS-CoV-2), ο οποίος προκάλεσε πανδημία. Οι κορονοϊοί έχουν σχετιστεί επίσης με γαστρεντερίτιδα.[1]




0 Μας δωσαν το χρονο τους :
Speak up your mind
Tell us what you're thinking... !